凯斯艾生物科技(苏州)有限公司
缺血性脑卒中(Ischemic Stroke),又称缺血性中风,是指因脑部血管堵塞或狭窄,导致脑组织血液灌注不足、缺氧缺血,进而引发脑组织坏死或功能障碍的急性脑血管疾病。脑卒中是六大最危害人类健康与生存的疾病之一,仅次于恶性肿瘤,排在第二位。而缺血性脑卒中是脑卒中的主要类型,约占所有脑卒中病例80%左右。

市场前景
全球市场:脑缺血相关市场均呈增长态势。其中脑缺血整体市场在2025年规模达16.4亿美元,预计2030年将增至24.5亿美元,2025-2030年复合年增长率达8.38%;而脑梗死治疗细分市场2025年规模为118.4亿美元,预计到2029年将增长至155.4亿美元,复合年增长率维持在7.0%。
中国市场:2025年数据显示,中国现患卒中患者已超2800万人,其中缺血性卒中占比约 72%,以此推算缺血性卒中现患病人数超2000万。此外,40岁以上脑梗患者已超1242万,25-45岁年轻患者占比达15%,发病年轻化趋势进一步扩大了患病群体规模。每年新发卒中约394万例,缺血性卒中对应的年新发病例超280万;另有数据预测,2025年急性缺血性脑卒中发病人数将达到400万例,可见其新增患病群体数量处于较高水平。
治疗现状
| 药物类别 | 代表药物 | 作用机理 | 局限性 |
| 急性期溶栓药物 | 重组组织型纤溶酶原激活剂(rtPA)、替奈普酶(TNK-tPA) | 溶解血栓、恢复脑血流灌注的药物 | 1. 时间窗极窄:rtPA 仅限发病 4.5h 内,替奈普酶仅限 6h 内,仅 5%~10% 患者能获益。 2. 风险高:颅内出血发生率约 6%~7%,严重时可致命。 3. 时间窗极窄:rtPA 仅限发病 4.5h 内,替奈普酶仅限 6h 内,仅 5%~10% 患者能获益。 |
| 神经保护剂 | 依达拉奉 | 清除自由基,仅针对脑缺血再灌注损伤 中的氧化应激通路发挥作用 | 1. 指南推荐发病 48h 内启动用药,超过该时间窗后,自由基损伤已进入不可逆阶段,药物疗效大幅下降。 2. 仅能轻度改善患者神经功能缺损评分(NIHSS),无法显著降低致残率和死亡率,对中重度缺血性脑卒中患者的获益尤为有限。 |
| 丁苯酞 | 丁苯酞的作用机制为改善脑微循环、 促进侧支循环建立、抑制线粒体凋亡, 但其疗效证据多基于国内小样本临床试验, 缺乏国际多中心、大样本、双盲对照研究验证 | 1. 仅适用于轻、中度缺血性脑卒中患者,对大面积脑梗死、脑干梗死等重症患者疗效不佳。 2. 存在口服软胶囊和静脉注射液两种剂型:口服制剂需空腹服用,易引发腹胀、腹泻、恶心等胃肠道反应(发生率约 10%),部分患者因不耐受停药;静脉制剂输注速度过快可能导致血管刺激、静脉炎。 | |
| 抗血小板药物 | 阿司匹林、氯吡格雷、 替格瑞洛 | 能快速抑制血小板聚集, 预防血栓扩大或复发 | 1. 部分患者规范用药后仍复发,临床缺乏精准预测效果的手段。 2. 需严格评估出血风险。 |
凯斯艾•珂玛麒脑卒中模型药效学评价平台
凯斯艾•珂玛麒脑卒中模型药效学评价平台拥有全面的动物模型体系,平台已累计了丰富的项目经验,可满足多元化的研究需求。目前,公司已与国内外众多知名药企及科研机构建立了广泛的长期合作,为创新药物的开发提供坚实基石。

缺血性脑卒中模型介绍及案例分享
01 小鼠 MCAO 模型
成模标准
缺血后 30 min 脑血流下降>20%;
缺血后 1h 行为学 Longa 评分≥2。
模型数据

02 大鼠 MCAO 模型
成模标准
缺血后 30 min 脑血流下降>20%;
缺血后 1h 行为学 Longa 评分≥2。
模型数据

案例分享-小分子药效
• 脑梗死面积统计

案例分享-多肽药效


阳性药物依达拉奉右莰醇和丁苯酞给药7天和14天均能够减少大鼠脑缺血模型神经功能损伤,减少贴纸移除时间。
CPD在缺血后1h、再灌注后1h,3h给药均能够有效保护脑组织,减少梗死面积。
案例分享-干细胞药效

03 非人灵长类MCAO模型
成模标准
缺血6h,脑损伤面积≥16%
模型数据
• 脑血流变化

• 不同缺血时间,笼旁行为差异&采食行为差异

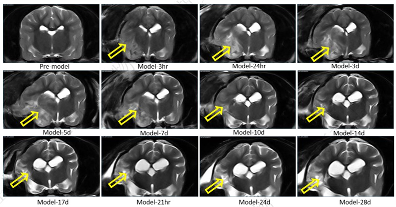
• 不同缺血时间,脑MRI影像变化:T2 2D FSE Dor

案例分享-小分子药效
• 脑梗死体积变化

案例分享-多肽药效
• 脑梗死体积变化

案例分享-干细胞药效

NHP永久性缺血性脑梗死模型第8天MSC治疗16周,行为学明显改善
成模标准
缺血3h梗死面积≥8%
模型数据
• 脑MRI影像变化

• 行为学变化
