新闻资讯
联系我们

    凯斯艾生物科技(苏州)有限公司
    总机:0512-69998806
    企业邮箱:bd@kcibiotech.com
    BD联系方式:
    华北:熊先生 15339988450
    华东、华南:辜女士 15378638068
    华东:侯先生 13185096531
    中西部地区:向女士 15828112963
    公司地址:苏州工业园区扬华路8号新扬产业园A2栋
行业资讯 您当前所在的位置:首页 > 行业资讯 >

科学分享 | 小鼠CAIA模型

作者: 来源: 日期:2026/3/12 13:45:11 

引言

小鼠胶原抗体诱导性关节炎(Collagen Antibody-Induced Arthritis,CAIA)模型凭借其造模高效、表型稳定、适用范围广等优势,成为近年来科研领域的“热门选择”。今天,就带大家全面解锁CAIA模型的核心知识点,从原理到应用,一篇读懂!

模型选择的科学逻辑

1什么是CAIA模型?

CAIA模型是一种通过注射特定胶原抗体合剂,联合脂多糖(LPS)协同诱导,在小鼠体内快速构建的类风湿关节炎模型,其核心机制与人类RA的自身免疫反应高度契合。

简单来说,Ⅱ型胶原是关节软骨的主要成分,而CAIA模型通过注射针对小鼠Ⅱ型胶原的单克隆抗体合剂(常用5-克隆胶原抗体混合物),让抗体与小鼠关节内的Ⅱ型胶原结合,形成免疫复合物。这些免疫复合物会激活机体补体系统,招募炎症细胞浸润关节,引发急性炎症反应。

若在此基础上联合注射低剂量LPS,可进一步放大炎症效应,显著提高关节炎的发病率(可达100%),并加速关节损伤的进程,让模型更贴近人类RA的病理特征——包括滑膜炎、关节肿胀、软骨降解和骨侵蚀等关键表型。

值得注意的是,CAIA模型的抗体合剂中包含多种特异性单克隆抗体,这些抗体识别的抗原表位在人、小鼠、猴等多种物种中高度保守,这也让该模型的研究结果更具临床转化价值。

2CAIA模型 vs 传统CIA模型

对比维度

CAIA模型

CIA模型

造模周期

极短,LPS注射后24-48小时即可出现关节炎症状,全程仅1-2周

较长,需6-8周才能出现稳定关节炎表型,实验周期久

适用品系

范围广,可诱导大多数小鼠品系,包括CIA不敏感品系、T细胞缺陷小鼠、基因敲除/转基因小鼠等

MHC单倍型限制,仅适用于少数易感品系(如DBA/1J小鼠)

发病率

高,联合LPS诱导后发病率可达100%,个体差异小,均一性好

较低,且品系间差异大,部分小鼠无法诱导成功

造模难度

简单便捷,直接注射抗体和LPS即可,无需复杂免疫程序,可减少试剂浪费

复杂,需多次免疫胶原+佐剂,操作繁琐,耗时耗力

适用场景

药物快速筛选、RA发病机制研究、基因功能分析、炎症介质研究等

更适合研究T细胞介导的免疫反应,以及慢性关节炎的长期进展


3适用场景汇总

CAIA模型已广泛应用于RA相关科研领域,成为连接基础研究与临床应用的重要桥梁,主要应用场景包括:

01.RA发病机制研究:可用于探究自身抗体、补体系统、炎症介质(如LPS)在RA发病中的作用,尤其适合研究初始免疫系统对关节炎的影响。

02.候选药物筛选与评估:造模周期短、发病率高,可快速筛选具有抗炎、抗关节损伤作用的候选药物,评估药物的治疗效果及剂量依赖性。

03.基因功能研究:可应用于转基因、基因敲除小鼠,探究特定基因在RA发病中的作用,为寻找RA治疗靶点提供实验依据。

04.炎症相关研究:可用于研究细菌毒素、病毒感染等因素与RA发病的关联,进一步揭示RA的多因素发病机制。


凯斯艾•珂玛麒炎症/免疫系统疾病药效学评价平台

凯斯艾•珂玛麒炎症/免疫系统疾病药理药效学评价平台拥有全面的动物模型体系,平台已累计了丰富的项目经验,可满足多元化的研究需求。目前,公司已与国内外众多知名药企及科研机构建立了广泛的长期合作,为创新药物的开发提供坚实基石。

胶原抗体诱导小鼠类风湿性关节炎(CAIA)模型案例分享

数据展示

  • 动物体重及踝关节变化

  • 炎症因子RT-qPCR分析结果

CAIA模型组动物IL-1β、TNF-α和IL-6均明显高于正常动物。

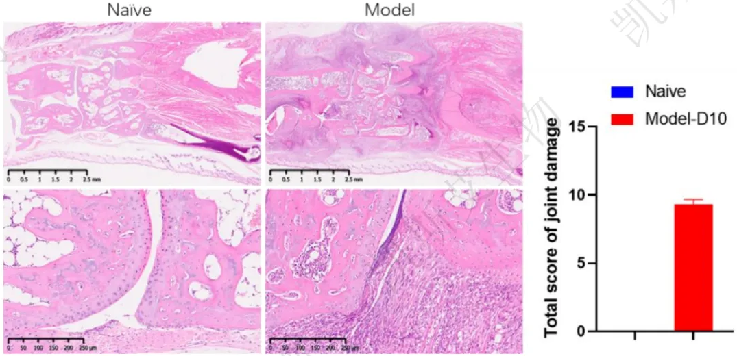
  • A-HE染色检查


HE染色结果显示,CAIA模型动物踝关节软组织肿胀,显著性炎细胞浸润;踝关节滑膜组织增生,滑膜显著性炎细胞浸润(滑膜炎);关节软骨不同程度破坏;软骨下骨组织及关节骨组织内滑膜肉芽肿形成,显著性骨组织破坏。

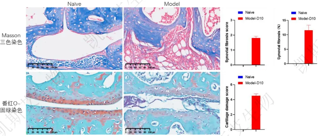
  • B-Masson三色染色检查和番红O染色检查


染色结果显示,CAIA模型动物增生的滑膜组织中胶原沉积,滑膜纤维化;关节软骨破坏及软骨基质消失。

总结

动物模型的价值:从机制解析到临床转化的关键桥梁

小鼠CAIA模型以“快速、高效、稳定、适用范围广”的核心优势,解决了传统RA模型造模周期长、适用品系有限的痛点,成为RA基础研究和药物研发的理想模型。 凯斯艾•珂玛麒的动物疾病模型在此领域发挥着关键作用,凭借其专业的模型构建与评价体系,正持续为科研机构和制药企业提供强有力的支持,共同推动炎症/免疫系统疾病领域从基础认知到治疗突破的快速转化。 探索疾病,赋能研发。 我们致力于以可靠的模型与数据,助力下一代疗法的诞生。

下一个:科学分享 | 骨关节炎模型及治疗方式