凯斯艾生物科技(苏州)有限公司
从基础病理机制研究,到创新药物筛选、新型治疗方案验证,骨关节炎的科研突破与临床进步,始终离不开“稳定、精准、高仿真的疾病模型”作为核心支撑。优质的骨关节炎模型,是连接实验室基础研究与临床转化应用的关键桥梁,更是解决当前行业治疗瓶颈、推动新药研发提速的核心载体。今天,我们带大家全面了解骨关节炎治疗与模型研发领域的核心进展,同时分享我们团队深耕多年的技术平台与实战案例。
市场现状
全球市场
成熟但存在巨大未满足需求。当前市场主要由传统治疗方案主导,包括非甾体抗炎药、关节腔注射剂和终末期的人工关节置换。全球非甾体抗炎药市场在2022年约为164亿美元,预计以4.2%的年复合增长率平稳增长至2030年。这类药物能缓解疼痛,但长期使用存在胃肠道和心血管风险,且无法逆转病程。更具潜力的M09类药物(包含骨关节炎创新药)市场增长更快,预计到2027年可达205亿美元,反映了对真正有效疗法的迫切需求。治疗现状
|
|
|
|
|
|
|
|
|
|
|
|
COX-2选择性抑制剂:塞来昔布 |
|
|
|
|
玻璃酸钠 |
玻璃酸钠:持续的疼痛缓解作作用,有一定保护软骨的作用 |
玻璃酸钠:疗效存在一定争议,并非对所有人都有效 |
凯斯艾•珂玛麒骨/关节/肌肉系统疾病药效学评价平台
凯斯艾•珂玛麒骨/关节/肌肉系统疾病药效学评价平台拥有全面的动物模型体系,平台已累计了丰富的项目经验,可满足多元化的研究需求。目前,公司已与国内外众多知名药企及科研机构建立了广泛的长期合作,为创新药物的开发提供坚实基石。
骨关节炎模型介绍及案例分享
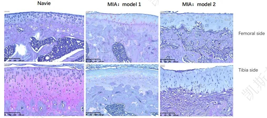
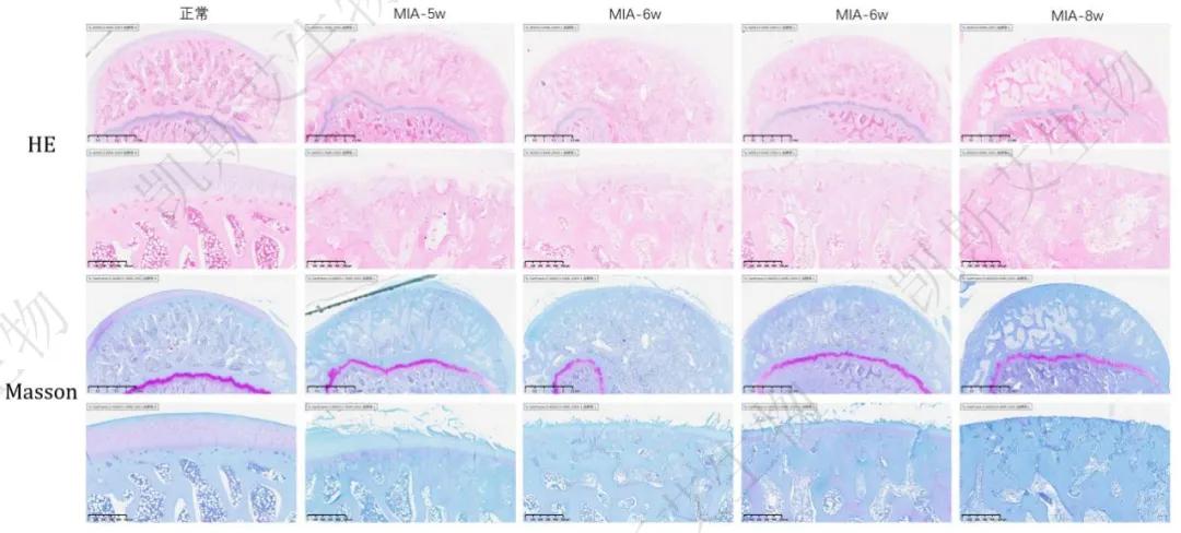
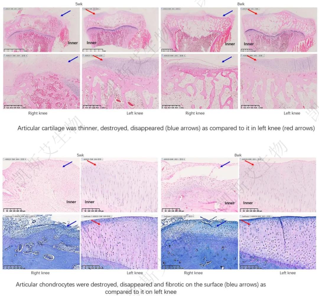
01 MIA诱导SD大鼠骨关节炎模型
数据展示
关节肿胀、关节压痛、病理
案例分享-抑制剂
02 MIA诱导小鼠骨关节炎模型
数据展示
关节肿胀、关节压痛、病理

MMT模型
DMM模型
ACLT+DMM模型
ACLT模型