In this season of gratitude, KCI/KMQ/KAL would like to express our sincere thanks to every customer, partner, and team member who has always supported us, as well as those who have silently contributed to scientific progress. Thank you for your support and trust in us over the past year, and thank you for keeping us warm along the way.
Have you also joined the army of "poop shoveling officers" and enjoyed the warm companionship brought by the furry child? As the number of cat owners in China exceeds tens of millions, more and more people are affectionately calling themselves "cat dad, cat mom". However, behind this warm trend of cat ownership, there is a chilling disease - feline infectious peritonitis (FIP), commonly known as "feline abdominal infection", which is quietly threatening the lives of these furry children. When you notice that your beloved cat's belly is gradually expanding, it may be going through a life or death battle.

一、Disease type
Feline transmitted peritonitis (FIPV) is a systemic, chronic, and deadly major infectious disease caused by feline infectious peritonitis virus (FIPV) in both domestic and wild cats. According to statistics, about 5% of domestic cats die from FIP. The culprit of feline transmission, feline coronavirus (FCOV), is actually quite common and widely present in cat populations. The vast majority of cats infected with FCOV will only experience mild symptoms or even no symptoms, or only show mild respiratory symptoms and diarrhea. But in about 5-10% of infected cats, the virus mutates in the body, acquiring the ability to replicate effectively and sustainably in monocytes and macrophages, leading to systemic infection and the occurrence of FIP. From initial FCOV infection to the development of FIP, there may be intervals of several weeks, months, or even years.
There are two main clinical manifestations of feline abdominal transmission: "wet" (exudative type) and "dry" (non exudative type), and sometimes a mixed type may also occur.
• Wet FIP:It is relatively common, accounting for 62.82% of cases, characterized by the accumulation of pale yellow, viscous exudate in the chest, abdominal or pericardial cavity. These exudates are rich in protein, causing the abdomen to gradually swell, which is the first symptom that many "parents" notice.
• Dry FIP:It manifests as granulomatous lesions, forming gray granulomatous masses on the abdominal organs or intestinal walls, which may affect the liver, kidneys, eyes, and nervous system.
• hybrid:It combines the pathological changes of wet FIP and dry FIP.
| feature | wet nature (Exudative type) FIP | dryness (Non exudative type) FIP |
| incidence rate | about 62.82% | about 37.18% |
| main manifestations | pleural/peritoneal effusion, abdominal swelling | organ granuloma, neurological symptoms |
| diagnostic difficulty | Relatively easy | more challenging |
| course of disease | usually more urgent | usually more chronic |
二、Disease symptoms
The clinical symptoms of feline abdominal transmission are diverse, mainly including:
①Loss of appetite, mental depression, chronic weight loss
②Fever (39.74%) and no response to antibiotic treatment
③Gradually expanding abdomen (wet)
④Neurological symptoms such as ataxia or epilepsy, eye lesions such as uveitis (dry)
Epidemiological surveys have shown that kittens are more susceptible to illness, with 70.51% of FIP cases occurring in young cats. The medical consultation rate of male cats is much higher than that of female cats, with a ratio of about 2:1. In terms of breeds, the proportion of introduced breeds of cats is 54.49%, slightly higher than that of Chinese field cats.
In recent years, there have been breakthroughs in the treatment of feline transmission, mainly due to the application of several antiviral drugs:

①GS-441524:Excellent performance in clinical trials, a study showed that 98 FIP affected cats showed significant improvement in clinical symptoms after subcutaneous injection of GS-441524 (7.5 mg/kg, once daily). The drug also shows good absorption and slow metabolic clearance characteristics when taken orally.
②GC376:As a viral protease inhibitor, it can also effectively treat FIP, but studies have shown that its efficacy may not be as good as GS-441524.
Comparative studies have shown that the medication time of the GS-441524 treatment group is significantly shorter than that of the GC376 treatment group, and the therapeutic effect of GS-441524 is better than that of GC376.
四、KCI • KMQ Anti infective Vaccine and Drug Development Service Platform
KCI • KMQ has established a dual qualification of BSL-2 and ABSL-2, providing an anti infection research and development service platform for over 100 pathogenic microorganisms (bacteria, viruses, and fungi), including human drugs, veterinary drugs, and pet drugs. The BSL-2 laboratory covers an area of approximately 200m ² and contains cells, viruses, and bacteria; The ABSL-2 laboratory covers an area of approximately 1000m ², with a small animal laboratory of 300m ² and a large animal laboratory of 700m ². After years of internal research and development and external services, KCI • KMQ has successfully established various animal models of viral, bacterial, and fungal infections, committed to providing customers with high-quality pharmacological and pharmacodynamic evaluation services, mainly including:
(1)In vitro anti infective efficacy test:Antiviral activity - EC50/CC50 detection; MIC drug sensitivity test; FIC measurement; Effects of biological characteristics, etc.
(2)In vivo immunogenicity test of vaccine:Neutralization test, coagulation inhibition test, cellular immunity test, etc;
(3)Animal Toxicity Protection Test:Vaccines and antiviral drugs;
(4)Infectious animal testing.

Case study sharing of feline infectious peritonitis model
Pharmacodynamic study of the investigational drug and GS-441524 in a cat FIPV infection model
data display• Animal weight, body temperature, and survival statistics

Figure 1: Changes in animal weight and body temperature
After poisoning, the body weight of the model group animals showed a significant downward trend, and their body temperature showed a wave like increase; The main symptoms are decreased or lost appetite, and a deterioration in mental state;
Compared with the model group, after administration, the body weight of animals in each treatment group began to recover and increase, and their body temperature showed a decreasing trend at different time periods; Compared with the positive drug GS-441524 group, the CPD1 group and CPD2 group showed a more significant trend of weight recovery and growth, with statistical differences observed in the CPD2 group. Meanwhile, administration of GS-441524, CPD1, and CPD2 can significantly improve the survival cycle of animals.
• Blood biochemistry testing

Figure 2: Serum Biochemical Testing
After the attack, the peripheral blood ALB content of the model group animals showed a gradually decreasing trend, GLO showed an increasing trend, and A/G further decreased;
Compared with the model group, after administration, the peripheral blood ALB content of each treatment group showed an upward trend, GLO showed a downward trend, and the A/G ratio gradually recovered and increased. Among them, the GS-441524 group had significant differences at 2 weeks, and the CPD2-15mpk group had significant differences at 1 week and 2 weeks Compared with the positive drug GS-441524 group, there was no significant difference in peripheral blood ALB, GLO, and A/G ratio between the CPD1 and CPD2 groups.
• Detection of FIPV viral load in major organs of deceased animals or experimental endpoint animals

Figure 3: Detection of viral load in major organs
Two-way ANOVA: *** p<0.001 vs. vehicle group; ** p<0.01 vs. vehicle group; * p<0.05 vs. vehicle group. T-test: # p<0.05 vs. vehicle group
Compared with the model group, the viral load of FIPV in major organs of GS-441524 group, CPD1 group, and CPD2 group significantly decreased, and overall remained extremely low or below the detection limit.
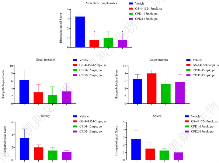
• HE staining analysis of major organs


Figure 4: HE Pathological Staining Analysis of Liver, Heart, and Lung


Figure 5: HE Pathological Staining Analysis of Kidney, Spleen, Intestine, and Mesenteric Lymph Nodes
The model group animals showed systemic organ lesions, with the heart showing myocarditis, myocardial degeneration, and epicardial inflammation, the liver showing hepatocyte degeneration, necrosis, and inflammation, the lungs mainly showing pleurisy and a small amount of alveolar inflammation, the kidneys showing tubular degeneration and interstitial inflammation, the spleen showing splenic congestion and inflammation, the intestines showing mucosal erosion and inflammatory granulomas, and the mesenteric lymph nodes showing necrosis and inflammation.Compared with the model group, the pathological changes in the heart, liver, spleen, lungs, kidneys, small intestine, and mesenteric lymph nodes of animals in each treatment group were significantly improved, and the degree of lesions was in a mild state; However, there was no significant improvement in the pathological changes of the large intestine, which is consistent with the FIPV load data of the large intestine.