News
contact us
    KCI BioTech (Suzhou) Inc.
    Tel:0512-69998806
    Enterprise email:bd@kcibiotech.com
    BD contact information:
    North China:Mr. Xiong 15339988450
    East and South China:Ms. Gu 15378638068
    East China:Mr. Hou 13185096531
    Central and Western regions: Ms. Xiang 15828112963
    Address: Building A2, Xinyang Industrial Park, No. 8 Yanghua Road, Suzhou Industrial Park
Industry news Your current location:Home > Industry news >

Scientific Sharing | Mouse CAIA Model

Author: ComeFrom: Date:2026/3/12 14:19:10 

Introduction

Collagen Antibody-Induced Arthritis,CAIA The model has become a "popular choice" in scientific research in recent years due to its advantages such as efficient modeling, stable phenotype, and wide range of applicability. Today, let's fully unlock the core knowledge points of the CAIA model, from principle to application, in one article!

The scientific logic of model selection

1.What is the CAIA model?

The CAIA model is a rheumatoid arthritis model rapidly established in mice through the injection of a specific collagen antibody cocktail, combined with lipopolysaccharide (LPS) for synergistic induction. Its core mechanism closely aligns with the autoimmune response observed in human RA.

In simple terms, type II collagen is the main component of articular cartilage. The CAIA model involves injecting a cocktail of monoclonal antibodies targeting type II collagen in mice (commonly a mixture of 5-clone collagen antibodies), allowing the antibodies to bind to type II collagen within the joints of the mice, forming immune complexes. These immune complexes activate the body's complement system, recruiting inflammatory cells to infiltrate the joints and triggering an acute inflammatory response.

If low-dose LPS is injected in combination on this basis, the inflammatory effect can be further amplified, significantly increasing the incidence rate of arthritis (up to 100%), and accelerating the progression of joint damage, making the model more closely resemble the pathological characteristics of human RA, including key phenotypes such as synovitis, joint swelling, cartilage degradation, and bone erosion.

It is worth noting that the antibody mixture of the CAIA model contains multiple specific monoclonal antibodies, and the antigen epitopes recognized by these antibodies are highly conserved in various species such as humans, mice, and monkeys, which also makes the research results of this model more clinically valuable.

2.CAIA model vs traditional CIA model

comparative dimension

CAIA Model

CIA model

Mold making cycle

Very short, arthritis symptoms can appear within 24-48 hours after LPS injection, and the whole process only takes 1-2 weeks

Longer, requiredStable arthritis phenotype can only appear after 6-8 weeks, and the experimental period is long

Applicable product series

Wide range, can induce most mouse strains, includingCIA insensitive strains, T cell deficient mice, gene knockout/transgenic mice, etc

Receive HC haplotype restriction, only applicable to a few susceptible strains (such as DBA/1J mice)

incidence rate

High, UnitedAfter LPS induction, the incidence rate can reach 100%, with small individual difference and good homogeneity

Low and with significant inter strain differences, some mice cannot be successfully induced

Difficulty in mold making

Simple and convenient, direct injection of antibodies andLPS is sufficient, without the need for complex immune programs, which can reduce reagent waste

Complex, requiring multiple immunizations against collagen+Adjuvant, cumbersome operation, time-consuming and labor-intensive

Applicable scenarios

Rapid drug screening、Research on the pathogenesis of RA, gene function analysis, inflammatory mediators, etc

More suitable for researchT cell-mediated immune response and long-term progression of chronic arthritis


3.Summary of applicable scenarios

The CAIA model has been widely applied in RA-related scientific research fields, serving as an important bridge connecting basic research and clinical applications. Its main application scenarios include:

01.Research on the pathogenesis of rheumatoid arthritis (RA): It can be used to explore the role of autoantibodies, complement system, and inflammatory mediators (such as LPS) in the pathogenesis of RA, especially suitable for studying the impact of the initial immune system on arthritis.

02.Screening and evaluation of candidate drugs: short modeling period and high incidence rate can quickly screen candidate drugs with anti-inflammatory and anti joint damage effects, and evaluate the therapeutic effect and dose dependence of drugs.

03.Gene function research: can be applied to transgenic and gene knockout mice to explore the role of specific genes in the pathogenesis of RA, providing experimental evidence for finding therapeutic targets for RA.

04.Inflammation-related research: It can be used to study the association between factors such as bacterial toxins and viral infections and the pathogenesis of RA, further revealing the multifactorial pathogenesis of RA.


KCI • KMQ Inflammation/Immune System Disease Pharmacodynamic Evaluation Platform

The KCI•KMQ platform for pharmacological and pharmacodynamic evaluation of inflammatory/immune system diseases boasts a comprehensive animal model system. The platform has accumulated rich project experience, meeting diverse research needs. Currently, the company has established extensive long-term collaborations with numerous renowned pharmaceutical companies and scientific research institutions both domestically and internationally, laying a solid foundation for the development of innovative drugs.

Case sharing of collagen antibody-induced arthritis (CAIA) model in mice

Data display

  • Changes in animal weight and ankle joint

  • Inflammatory factor RT qPCR analysis results

The levels of IL-1β, TNF-α, and IL-6 in CAIA model animals were significantly higher than those in normal animals.

  • A-HEstaining test


The HE staining results revealed swelling of soft tissue in the ankle joint of CAIA model animals, accompanied by significant inflammatory cell infiltration; proliferation of synovial tissue in the ankle joint, with prominent inflammatory cell infiltration in the synovium (synovitis); varying degrees of damage to articular cartilage; and formation of synovial granulomas in subchondral bone tissue and articular bone tissue, with significant bone tissue destruction.

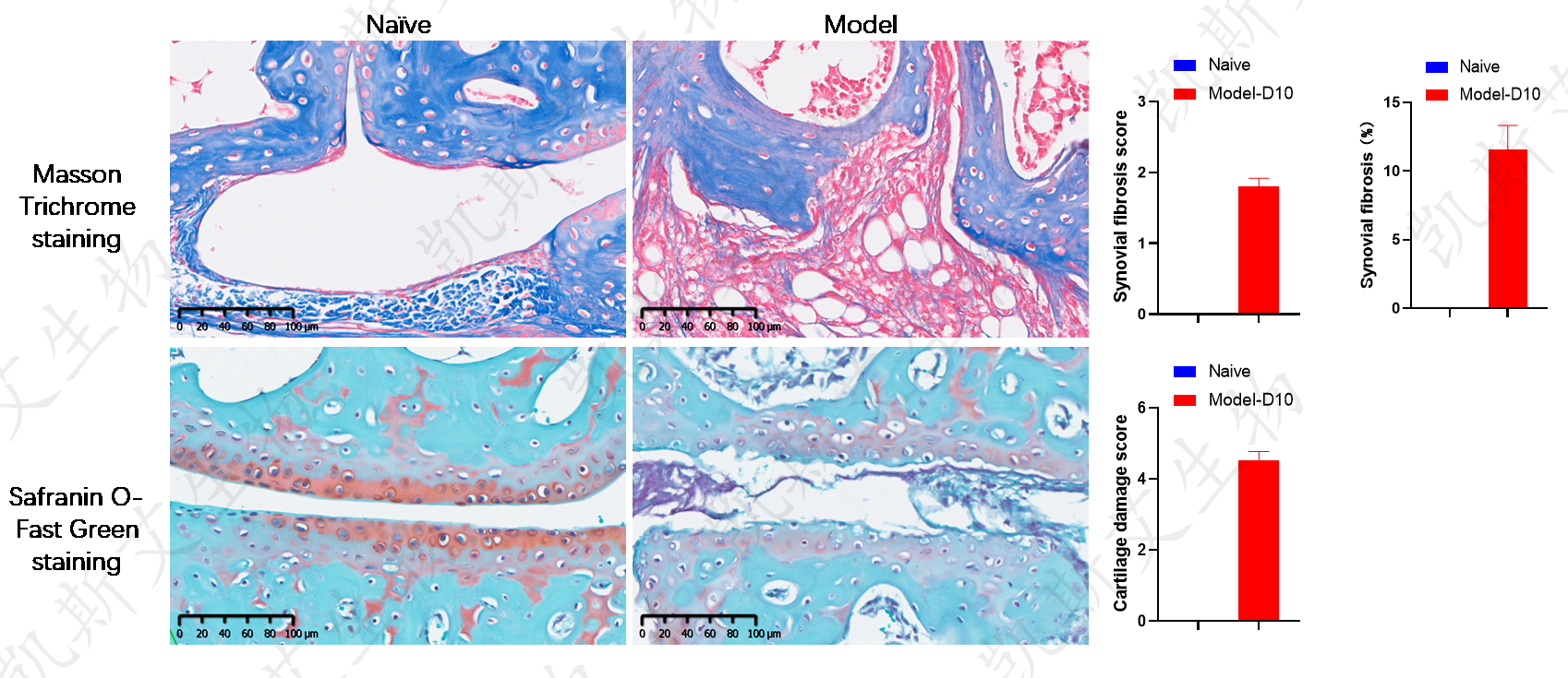
  • B-MassonTrichrome staining examination and safranin O staining examination


The staining results revealed collagen deposition and synovial fibrosis in the proliferative synovial tissue of CAIA model animals; as well as destruction of articular cartilage and disappearance of cartilage matrix.

summary

The value of animal models: a crucial bridge from mechanism analysis to clinical translation

The mouse CAIA model, with its core advantages of "rapid, efficient, stable, and widely applicable", has addressed the pain points of traditional RA models, such as long modeling cycles and limited applicable strains, making it an ideal model for RA basic research and drug development. The animal disease models of KCI•KMQ play a pivotal role in this field. Leveraging its expertise in model construction and evaluation systems, it is continuously providing robust support to research institutions and pharmaceutical companies, jointly facilitating the rapid translation from basic cognition to therapeutic breakthroughs in the field of inflammatory/immune system diseases. Exploring diseases and empowering research and development. We are committed to facilitating the emergence of next-generation therapies with reliable models and data.

Next:Scientific Sharing | Osteoarthritis Model and Treatment Methods